¿Ves borroso en el centro de tu campo visual? ¿Sientes que las líneas rectas se ven torcidas o que los colores ya no son tan vivos como antes? Estas pueden ser señales de una enfermedad silenciosa que afecta a millones de personas en el mundo y que, con frecuencia, no se detecta hasta que el daño ya está avanzado: la degeneración macular asociada a la edad. asociada a la edad.
En este artículo te explicamos qué es esta enfermedad, por qué ocurre, cómo se manifiesta, qué tipos existen, cuáles son sus tratamientos actuales y qué puedes hacer desde hoy para proteger tu visión. Porque aunque no tiene cura completa, detectarla a tiempo puede marcar una diferencia enorme en tu calidad de vida.
¿Qué es la degeneración macular?

La degeneración macular asociada a la edad —conocida como DMAE— es una enfermedad ocular que afecta la mácula, la zona central de la retina responsable de la visión nítida y detallada. Es la parte del ojo que usamos para leer, reconocer rostros, conducir y ver con precisión lo que tenemos justo al frente.
Cuando la mácula se deteriora, la visión central se va nublando de manera progresiva. La persona no pierde la visión periférica —es decir, sigue viendo a los lados—, pero la parte frontal y nítida de lo que mira se vuelve borrosa, distorsionada o directamente desaparece formando una mancha oscura.
La degeneración macular es una de las principales causas de pérdida de visión central en personas mayores de 50 años, y su prevalencia aumenta significativamente con la edad. Aunque no causa ceguera total, puede afectar de forma severa la autonomía y la calidad de vida de quien la padece.
La degeneración macular no duele. No produce enrojecimiento ni lagrimeo. Muchas personas conviven con ella durante años sin saberlo, porque el cerebro compensa parcialmente la pérdida de visión central usando el otro ojo. Por eso las revisiones periódicas son tan importantes.
Tal vez te interese: Visión borrosa: causas más comunes y cómo identificarlas a tiempo
¿Qué es la mácula y por qué es tan importante?
La mácula es un pequeño punto amarillo ubicado en el centro de la retina, en la parte posterior del ojo. A pesar de su tamaño reducido, concentra la mayor densidad de fotorreceptores del ojo —especialmente los conos, responsables de la visión en color y de la percepción de detalles finos.
Cuando la mácula funciona bien, podemos leer letras pequeñas, ver los detalles de una cara, distinguir colores y enfocar objetos lejanos con precisión. Cuando se daña, todas estas capacidades se ven comprometidas de forma gradual o, en algunos casos, súbita.
Tipos de degeneración macular
Existen dos formas principales de esta enfermedad, con características, evolución y opciones de tratamiento distintas:
DMAE seca (atrófica)
Es la forma más frecuente y representa la gran mayoría de los casos. Se produce cuando los vasos sanguíneos que nutren la mácula se vuelven más delgados y frágiles con el tiempo, y se forman pequeños depósitos de material de desecho llamados drusas, bajo la retina.
La DMAE seca evoluciona de manera lenta y progresiva a través de tres etapas: temprana, intermedia y avanzada. En las fases iniciales puede no haber síntomas perceptibles; en las etapas más avanzadas, la pérdida de visión central puede ser significativa.
Síntomas
-
Visión borrosa o nublada en el centro del campo visual.
-
Dificultad para leer letras pequeñas o ver detalles finos.
-
Necesidad de más luz para realizar tareas cotidianas.
-
Colores que parecen menos vivos o más apagados.
-
Una mancha oscura o borrosa en el centro de la visión que crece gradualmente.
-
Dificultad para reconocer rostros a distancia.
¿Se puede prevenir?
Actualmente no existe un tratamiento que revierta el daño ya producido en la DMAE seca avanzada. Sin embargo, en pacientes con DMAE seca intermedia o avanzada en un solo ojo, se ha demostrado que una combinación específica de vitaminas y minerales antioxidantes —conocida como fórmula AREDS— puede reducir el riesgo de progresión a formas más graves. Esta fórmula incluye vitamina C, vitamina E, luteína, zeaxantina y zinc, y debe ser indicada y supervisada por un especialista.
DMAE húmeda (neovascular)
Aunque representa un porcentaje menor de casos, es la forma más agresiva. Ocurre cuando crecen vasos sanguíneos anormales y muy frágiles por debajo de la mácula. Estos vasos, al ser inestables, filtran sangre y líquido hacia la retina, causando una pérdida de visión mucho más rápida que en la forma seca.
Cualquier etapa de la DMAE seca puede convertirse en DMAE húmeda. La buena noticia es que la forma húmeda tiene opciones de tratamiento disponibles que pueden frenar su avance.
Síntomas:
-
Líneas rectas que se ven torcidas, onduladas o curvadas.
-
Aparición rápida de una mancha oscura en el centro de la visión.
-
Distorsión visual que puede progresar en días o semanas.
¿Se puede prevenir?
En este caso sí existen opciones de tratamiento activo. Las inyecciones intravítreas de fármacos antiangiogénicos —medicamentos que bloquean el crecimiento de los vasos sanguíneos anormales— son el tratamiento de referencia actual. Se aplican directamente dentro del ojo en un procedimiento ambulatorio, bajo anestesia local, y pueden frenar e incluso mejorar la pérdida de visión en muchos pacientes.
En algunos casos, también puede emplearse la terapia fotodinámica, que combina un fármaco activado por la luz con un láser para destruir los vasos anormales sin dañar el tejido retiniano sano.
¿Quiénes tienen más riesgo de desarrollar degeneración macular?
La edad es el factor de riesgo más importante. La enfermedad es infrecuente antes de los 50 años, pero su prevalencia aumenta notablemente a partir de esa edad. Sin embargo, existen otros factores que elevan la probabilidad de padecerla:
-
Edad: mayor riesgo a partir de los 55 años, y mucho más en mayores de 75.
-
Antecedentes familiares: tener familiares directos con DMAE aumenta significativamente el riesgo.
-
Tabaquismo: fumar es uno de los factores de riesgo modificables más importantes y está directamente relacionado con el desarrollo y la progresión de la enfermedad.
-
Exposición solar excesiva: la radiación ultravioleta acumulada a lo largo de la vida puede dañar las células de la mácula.
-
Dieta poco saludable: el consumo elevado de grasas saturadas y la falta de antioxidantes en la dieta se asocian con mayor riesgo.
-
Hipertensión arterial y enfermedades cardiovasculares: los problemas vasculares sistémicos también afectan los vasos que irrigan la retina.
-
Sedentarismo y obesidad: el sobrepeso y la inactividad física se han asociado con una mayor incidencia de DMAE.
-
Sexo femenino: las mujeres tienen una prevalencia ligeramente mayor que los hombres.
En ausencia de síntomas o factores de riesgo, se recomienda incluir la revisión del fondo de ojo dentro del examen oftalmológico completo, especialmente a partir de los 40 años, edad en la que aumenta la probabilidad de cambios degenerativos en la retina.
Te invitamos a leer: Qué es retinitis y cómo afecta la visión
¿Cómo se diagnostica la degeneración macular?
El diagnóstico de la DMAE se realiza mediante un examen oftalmológico completo que incluye:
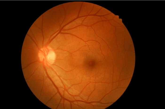
Examen de fondo de ojo con dilatación pupilar: permite al especialista observar directamente la mácula, la retina y los vasos sanguíneos para detectar la presencia de drusas, cambios vasculares o áreas de atrofia.
Rejilla de Amsler: es una prueba sencilla que el propio paciente puede realizar en casa. Consiste en mirar una cuadrícula con un punto central. Si las líneas parecen onduladas, distorsionadas o si hay zonas en blanco, puede indicar afectación macular.
Tomografía de coherencia óptica (OCT): es la prueba de imagen más precisa para evaluar las capas de la retina y detectar acumulación de líquido, cambios estructurales y el grosor macular. Es indolora y no requiere preparación especial.
Angiografía con fluoresceína: se inyecta un contraste en la vena del brazo para visualizar el flujo sanguíneo en la retina y detectar vasos anormales en la DMAE húmeda.
Tip: Si aún no has escuchado hablar de la rejilla de Amsler, puedes solicitar a tu oftalmólogo que te la enseñe. Es una herramienta sencilla que permite hacer un autocontrol visual en casa entre revisiones.
¿Se puede prevenir la degeneración macular?
Aunque no existe una manera completamente segura de evitar la DMAE, sí hay hábitos que pueden reducir el riesgo o frenar su progresión:
-
No fumar: es el cambio de estilo de vida con mayor impacto comprobado en la reducción del riesgo.
-
Llevar una dieta rica en antioxidantes: frutas y verduras de colores intensos, especialmente las verdes de hoja oscura como la espinaca y la col rizada, aportan luteína y zeaxantina, pigmentos protectores de la mácula.
-
Usar gafas de sol con protección UV: proteger los ojos de la radiación ultravioleta desde joven es una medida de prevención a largo plazo.
-
Controlar la presión arterial y el peso corporal:mantener una salud cardiovascular óptima también protege los vasos de la retina.
-
Hacer actividad física regular: el ejercicio moderado se asocia con menor prevalencia de DMAE.
-
Realizarse revisiones oftalmológicas periódicas: especialmente a partir de los 50 años, para detectar los primeros cambios antes de que la visión se deteriore.
Te invitamos a leer: ¿Cómo afecta el sol a los ojos? Consejos para protegerlos
Degeneración macular en Oftalmoservicios
En Oftalmoservicios, contamos con la tecnología y el equipo especializado para diagnosticar y hacer seguimiento de la degeneración macular desde sus etapas más tempranas. Realizamos exámenes de fondo de ojo con dilatación pupilar, retinografía digital y tomografía de coherencia óptica (OCT), pruebas esenciales para una evaluación precisa de la salud macular.
Si tienes más de 50 años, tienes familiares con DMAE o notas cambios en tu visión central, no esperes más para consultar con nuestros especialistas. La detección temprana es la clave para preservar tu visión el mayor tiempo posible.
Conclusiones
La degeneración macular asociada a la edad es una enfermedad que avanza en silencio, que no duele y que muchas veces no se detecta hasta que el daño ya es considerable. Es la principal causa de pérdida de visión central en personas mayores de 50 años, y su impacto en la calidad de vida puede ser profundo: dificulta leer, reconocer caras, conducir y realizar las actividades más cotidianas.
La buena noticia es que, detectada a tiempo, su progresión puede frenarse. Los hábitos de vida saludables, la protección frente al sol y el tabaco, y las revisiones oftalmológicas regulares son las herramientas más eficaces que tenemos hoy para enfrentarla.
Si tienes más de 50 años o presentas alguno de los factores de riesgo mencionados en este artículo, no lo dejes para después. Una revisión con nuestros especialistas puede darte tranquilidad o, si es necesario, darte la oportunidad de actuar a tiempo. En Oftalmoservicios estamos aquí para cuidar tu visión con el conocimiento, la tecnología y la cercanía que mereces.
Preguntas frecuentes sobre la degeneración macular
¿La degeneración macular produce ceguera total? No. La DMAE afecta la visión central, pero no destruye la visión periférica. Esto significa que la persona mantiene cierta capacidad visual, aunque la pérdida de la visión frontal puede ser muy limitante para actividades como leer, conducir o reconocer rostros.
¿A qué edad debo empezar a preocuparme por la degeneración macular? La enfermedad es infrecuente antes de los 50 años, pero a partir de esa edad el riesgo aumenta progresivamente. Se recomienda incluir la evaluación macular en el examen oftalmológico de rutina desde los 50 años, o antes si hay antecedentes familiares.
¿Puedo hacer algo en casa para detectar cambios en mi visión macular? Sí. La rejilla de Amsler es una herramienta sencilla que puedes usar en casa para monitorear tu visión central. Consiste en mirar una cuadrícula con un punto central tapando un ojo. Si las líneas se ven onduladas, hay zonas borrosas o desaparecen áreas de la cuadrícula, debes consultar a tu oftalmólogo cuanto antes.
¿La degeneración macular afecta los dos ojos al mismo tiempo? Generalmente comienza en un ojo y puede progresar al otro. El cerebro suele compensar la pérdida de un ojo usando el otro, lo que hace que muchos pacientes no noten los síntomas iniciales. Por eso es fundamental evaluar cada ojo de manera independiente.
¿El tabaco realmente influye en la degeneración macular? Sí, de manera significativa. Fumar es uno de los factores de riesgo modificables más importantes para desarrollar DMAE y también para que progrese más rápidamente. Dejar de fumar es una de las acciones más efectivas que puede tomar una persona para reducir su riesgo.
¿Las vitaminas antioxidantes sirven para tratar la degeneración macular? En ciertos estadios de la enfermedad, una combinación específica de vitaminas y minerales —conocida como fórmula AREDS— puede ayudar a frenar la progresión. Sin embargo, no funcionan en todos los casos y no deben tomarse sin supervisión médica, ya que la indicación depende del tipo y la etapa de la DMAE.
¿Las inyecciones intravítreas son dolorosas? El procedimiento se realiza bajo anestesia local, por lo que el paciente no siente dolor durante la inyección. Puede haber una leve molestia o sensación de presión, pero es bien tolerado. Es un procedimiento ambulatorio y de corta duración.
¿Dónde puedo hacerme una evaluación macular en Urabá? En Oftalmoservicios contamos con consultorios en Apartadó y Turbo, con los equipos necesarios para evaluar tu salud macular.
.png?width=702&height=300&name=banner-art-68%20(1).png)
